関岡クリニックホームへ 関岡クリニックホームへ ホーム
関岡クリニック
診療時間 救急 交通地図 診療対象 設備 各種健診 予防注射 在宅診療 禁煙指導 循環器検査
 
     
 
 
 
 
 
 
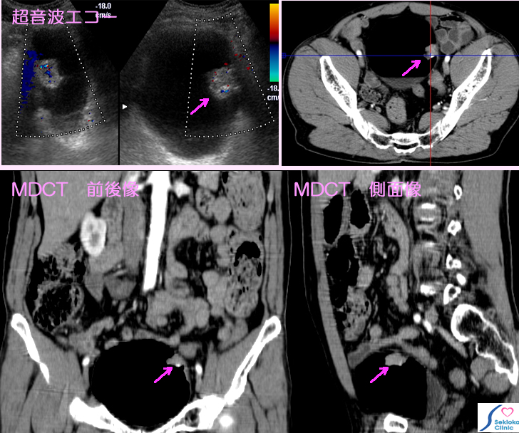
膀胱がん診断画像
膀胱早期がん



自覚症状  血尿(赤い尿)に気づき来院
診断

 超音波エコー検査で膀胱内膜から突出する小腫瘍認め、
 造影MDCT検査行う。膀胱壁外への進展の所見認めず、
 早期がん と推定される

治療  早期がんであったため、経尿道的切除で膀胱は温存される