
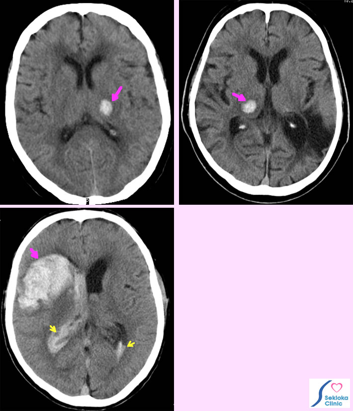
| 症状 | 症状は脳出血の部位で異なります。上段左の例は朝、右下肢がよろめいて来院され、検査。以前の血圧は160-170/90-100mmHgと高かったようです。上段右側の例はめまい感で来院され、 原因検査のためCT撮影。左側の大きな古い梗塞(黒い部分)に加え、新しい出血を認めます。下段の例は将棋をしていて突然倒れ、救急車で搬送されました。 |
|---|---|
| 診断 | CT(MDCT)。CTは出血の早期から診断でき、検査時間も短いため、交通事故などの全身打撲で全身を短時間で検索する場合にも高速撮影が可能なMDCTが使われます。下段の例は右前頭葉の大きな出血で脳室への血液流出(黄色矢印)も認めます。 |
| 治療 | 血腫による周囲の圧迫障害(循環障害)、脳ヘルニアを予防するため、浮腫を抑制する薬剤。大きい血腫では外科的除去。添付画像下段の例では緊急で右前頭部の血腫除去術が行われました。 上段の2例は安静観察で治療、その後リハビリ。 |
![]()