
| 自覚症状 | 下の画像は テレビを見ていて、突然、上背部に痛みを感じ、30分経ても持続するため、受診された。症状は動脈解離の生じる部位により、様々で腰痛、吐き気、腹痛などの例もありました。 下記の例は高血圧があり、降圧剤を服用されていた。高血圧、動脈硬化が誘因になることが多いが それらを伴わない場合もマルファン症候群では 血管壁中膜の弾性低下で解離が起こる。時には感染症や外傷が誘因になることもあります。 |
|---|---|
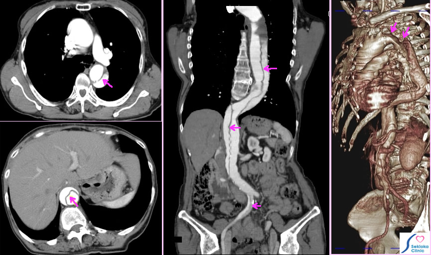
| 診断 | 部位によっては(腹部、胸部上行大動脈など)超音波エコー検査で診断されることもあるが、詳細な病気の広がりを観察するには 造影MDCT検査が最も信頼度は高い。下の例では 矢印に示すごとく、胸部下行大動脈に始まり、右総腸骨動脈まで広範な解離が認められました。 |
| 治療 | 解離の部位や進展状況で 内科的に血圧管理で観察する場合と 破裂の危険性や臓器の血流障害がある場合は手術(人工血管移植)、ステント挿入による血管補強などが行われます。 |