
| 自覚症状 | 軽症の段階では 自覚症状はありません。進行すると息切れ。重症では軽労作で息切れが出現します。最下段の例は喫煙されていたためCT撮影したもので、CTで異常が認められても 自覚症状はありませんでした。 |
|---|---|
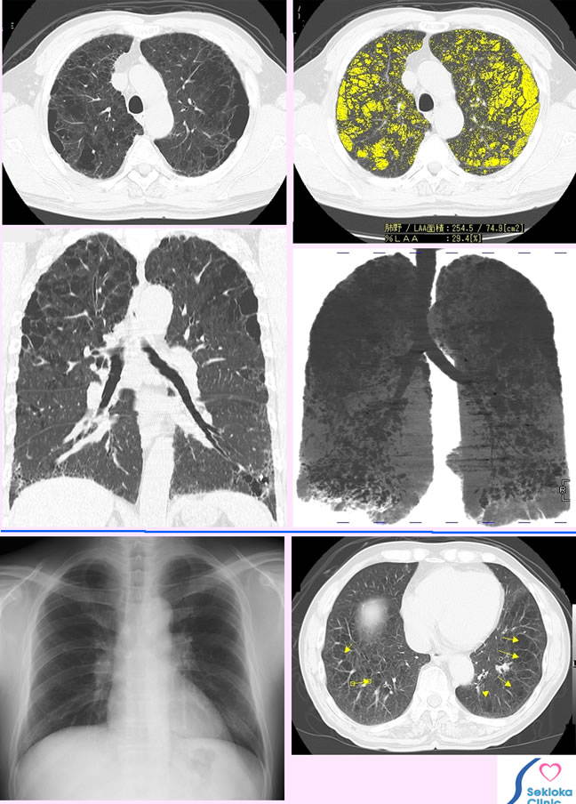
| 診断 | 薄いスライスのCT撮影。 MDCTは高速に薄いスライスを多数枚撮影でき、全肺野を検査するのに適しています。X線撮影は肺気腫の診断に無力。最下段に示す胸部X線撮影では正常に見えますが CTでは明瞭に肺気腫が示されれています。当然、肺がん健診の胸部X線撮影も肺気腫の診断はできません。CTの画像で黒い泡のように見える部分が肺の正常構造が失われた肺気腫の部分です。上段右側の画像で黄色の部分は コンピュ-タが検索した肺気腫の部分で定量的にその面積 全肺に対する%を表示しています。経時的に病気の進行状況を比較、評価するのに有用です。中段右の画像は肺全体での肺気腫の広がりを示すために画像処理したもので 黒い泡(巣)の様な部分が肺気腫です。 |
| 治療 | 気管支拡張剤、去痰剤などで進行を予防。喫煙は中止します。進行すれば酸素の使用が必要になります。 |