関岡クリニックホームへ 関岡クリニックホームへ ホーム
関岡クリニック
診療時間 救急 交通地図 診療対象 設備 各種健診 予防注射 在宅診療 禁煙指導 循環器検査
 
     
 
 
 
 
 
 
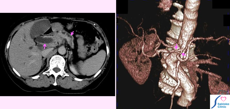
膵臓がんCT
膵臓がん

 

自覚症状  黄疸に気づき、来院
診断

 超音波エコーで胆管、膵管の拡張と膵臓頭部の腫大認め、膵臓がん疑い
 造影CT検査施行。腹腔動脈などへのがんの浸潤認めました。
 膵癌は診断後、手術可能例が約1/3~1/4程度と報告されています。早期診断が難しく、
重要な臓器です。現在、早期診断に最も有力な手法はMDCTによる薄いスライス(精細)画像を造影剤を用いて3相(時相)撮影する方法と考えられています。

治療

 血管への浸潤が既にあるため、手術による摘出は困難と判断され、黄疸治療
 のため総胆管へのステント挿入。化学療法後、保存的治療。
 1年後、他界される