
| 症状 | 硬膜下血腫は発症様式から急性と慢性に分けられます。急性は頭部打撲、外傷後間もなく発症し、嘔気、嘔吐、頭痛、意識障害などを生じ、瞳孔不動を伴うこともあり,急速に悪化する危険性が高く救急適応です。慢性型は頭部打撲の既往がなく高齢者や、血液凝固異常疾患や抗凝固薬剤・抗血栓剤による治療、服薬中に生じることもあります。また頭部打撲後3週間以上経て出現することもあります。慢性硬膜下血腫は症状が軽度で痴呆症状の進行と間違われることもあります。反応遅延、性格変化、錯乱、過動、めまい、頭痛、嘔気、麻痺,言語障害などのいずれかが出現します。 |
|---|---|
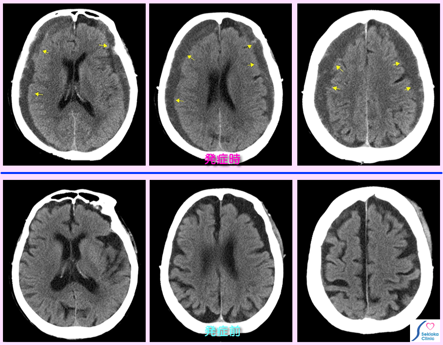
| 診断 | 主にCTで診断。脳表の片側または両側に三日月状に高X線吸収(画像では白く表示)または低吸収(黒く表示)領域として見られます。この表示の相異は出血のからの時間で変わります。血腫による圧排のため側脳室の狭小化や脳皮質溝の減少・消失も認められます(添付参考画像でも発症前と後で側脳室の狭小化、脳溝の減少が認められます)。掲載例は100歳の患者さんで最近、反応が鈍くなり,痴呆の急速な進行様の症状から本症を疑いCT撮影をおこなった例です。高齢のため著明な脳萎縮があり頭蓋骨と脳皮質の間の隙間が以前からありますが、以前の下段の画像と比べると変化が明瞭です。両側に水腫を認め、やや白く認められる部位(X線吸収値が高い)は出血を示唆すします。 |
| 治療 | 血腫による周囲の圧迫障害(循環障害)、脳ヘルニアを予防するため、手術による血腫除去(穿頭による血腫排液)を行います。特に急性型では緊急で行います。術後、慢性型では再発の可能性もあり、CTで経過観察を行います。、 |
![]()